3D-RÖNTGENTECHNIK DVT

Innovative, strahlungsärmere und äußerst präzise 3D-Röntgentechnik: DVT

 

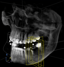
Vor manchen Eingriffen wird ein Computertomogramm (CT) benötigt. Ein CT ist aber aufwendig, teuer und die Strahlenbelastung ist hoch. Da jedoch außerdem mit der herkömmlichen 2D-Röntgentechnik etwa 20 Prozent aller krankhaften Befunde im Zahn-, Mund- und Kieferbereich kaum oder nicht zu erkennen sind, haben wir uns dazu entschlossen, neue Technologien im Rahmen der dreidimensionalen Digitalen Volumentomografie (DVT) für Ihre Sicherheit und Gesundheit einzu - setzen.

 

Kürzere Untersuchungszeiten bei schnellerer Leistung, weniger Strahlenbelastung und maximaler Bilddarstellung zeigen deutlich die Innovation, die wir für Ihren Nutzen einsetzen. Diese Schnittbilder kann unser Hochleistungsrechner zu einem dreidimensionalen, digitalen Datensatz verarbeiten, aus dem wir nach der Untersuchung auf dem Monitor die 3D-Ansicht Ihres Kiefers in jeder beliebigen Ebene rekonstruieren können. Wir als Ihre Behandler erhalten dadurch detaillierte 3D-Einblicke in Regionen und aus Blickwinkeln, die mit der herkömmlichen zweidimensionalen Röntgentechnik nicht möglich sind.

 

Überweisung an Fachpraxis nicht mehr notwendig

Und noch ein Vorteil: als Patient müssen Sie nicht mehr in eine radiologische Klinik oder Röntgen - fachpraxis überwiesen werden, da wir diese moderne Technik direkt bei uns in der Praxis anwenden können.

TERMINVEREINBARUNG

Tel: +43 7674 63222

praxis@die-oralchirurgen.at

Marktstraße 4, 4800 Attnang-Puchheim

Nach telefonischer Vereinbarung

Sehr geehrte Patientinnen und Patienten

 

 

 

 

 

Unsere Ordinationen ist nach telefonischer Terminvereinbarung geöffnet.
 

 

 

 

Durch die strengen Hygienemassnahmen können alle geplante Behandlungen durchgeführt werden.

 

Dies gilt auch für die Mundhygiene und Prophylaxe.

 

 

 

Sollten Sie dennoch einen Termin absagen wollen, bitten wir Sie dies rechtzeitig zu tun.

 

 

 

 

 

Schmerzpatienten können ausnahmslos nur nach vorheriger telefonischer Anmeldung mit Termin behandelt werden 

 

Bleiben Sie gesund

 

 

 

Ihre Ordinationen 

 

Drs. C. & U. Fürst

 

Notdienste auf www.zahnaerztekammer.at